±³Á¤Å¬¸®´Ð
°ú°³±³ÇÕ/°³¹æ±³ÇÕ ±³Á¤
HOME - ±³Á¤ Ŭ¸®´Ð - °ú°³±³ÇÕ/°³¹æ±³ÇÕ ±³Á¤³ª´Â ¾î¶² ºÎÁ¤±³ÇÕÀ̸ç,
¾î¶»°Ô Ä¡·áÇØ¾ßÇÒ±î?
°ú°³±³ÇÕ/
°³¹æ±³ÇÕ ±³Á¤
Ä¡¾Æ´Â ÀϹÝÀûÀÎ »ý°¢ ÀÌ»óÀ¸·Î °ÇÑ ÈûÀÌ ÁÖ¾îÁö´Â ½Åü ±â°üÀ¸·Î Ä¡¾ÆÀÇ ¸Â¹°¸²ÀÌ ÁÁÁö ¾ÊÀº °æ¿ì ÅΰüÀý¿¡ ¹«¸®¸¦ ÁÖ°í, ÅΰüÀýÀå¾Ö°¡ ´Ù¾çÇÑ Áõ»óÀ¸·Î À̾îÁú ¼ö ÀÖ½À´Ï´Ù. µû¶ó¼ Ä¡¾ÆÀÇ ±³ÇÕÀÌ ÁÁÁö ¾ÊÀº »óÅ¿¡¼ ¿À·¡ ¹æÄ¡µÇ¸é ÅΰüÀý Àå¾Ö°¡ ¿Ã ¼ö ÀÖÀ¸¹Ç·Î ÁÖÀÇÇØ¾ß ÇÕ´Ï´Ù.
°ú°³±³ÇÕÀ̶õ?
orthodontic Clinic
À´Ï°¡ ¾Æ·§´Ï¸¦ 3-4mm ÀÌ»óÀ» ºñÁ¤»óÀûÀ¸·Î ±íÀÌ µ¤¾î
¾Æ·§´Ï°¡ º¸ÀÌÁö ¾Ê´Â »óŸ¦ ¸»ÇÕ´Ï´Ù.
À´Ï¿¡ µ¤¿© º¸ÀÌÁö ¾Ê´Â ¾Æ·§´Ï´Â ÀÔõÀå±îÁö ¼Ú¾Æ Á¡¸·¿¡ »óó¸¦ ³»±âµµ ÇÕ´Ï´Ù.
°ú°³±³ÇÕÀÇ °æ¿ì ÅΰüÀý Àå¾Ö¸¦ µ¿¹ÝÇÏ´Â °æ¿ì°¡ ¸¹¾Æ, ±³Á¤Ä¡·á°¡ ÇʼöÀûÀÔ´Ï´Ù.
°ú°³±³ÇÕ¿¡ ÇØ´çµÇ´Â °æ¿ì
orthodontic Clinic
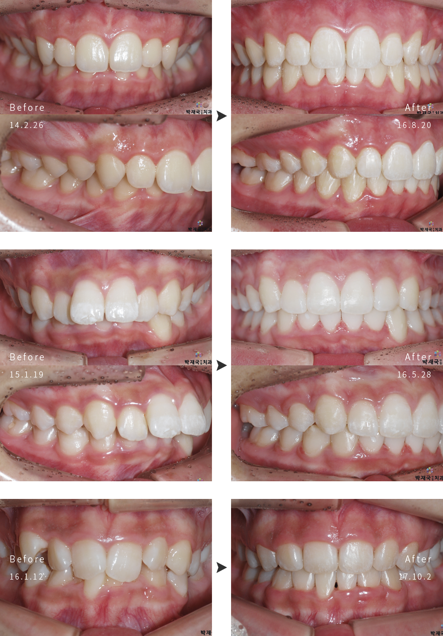
°ú°³±³ÇÕ±³Á¤ »ç·Ê
orthodontic Clinic
°³¹æ±³ÇÕÀ̶õ?
orthodontic Clinic
À´Ï°¡ ¾Æ·§´Ï¸¦ µ¤Áö ¸øÇϰí, À§ ¾Æ·¡ÀÇ Ä¡¾Æ »çÀÌ¿¡ Æ´ÀÌ »ý±â´Â°ÍÀ» ¸»ÇÕ´Ï´Ù.
°³¹æ±³ÇÕÀº ÅΰüÀý ÁúȯÀ» ÇÔ²² °¡Áö°í ÀÖ´Â °æ¿ì°¡ ¸¹±â ¶§¹®¿¡
ÅΰüÀý¿¡ ¹«¸®°¡ °¡Áö ¾Ê´Â ¹üÀ§ ³»¿¡¼
¾î±Ý´Ï³ª ¾Õ´ÏÀÇ ¼öÁ÷Àû À§Ä¡¸¦ Á¶½É½º·´°Ô Á¶Á¤ÇÏ¿© ±³Á¤ÇÕ´Ï´Ù.
°³¹æ±³ÇÕ¿¡ ÇØ´çµÇ´Â °æ¿ì
orthodontic Clinic
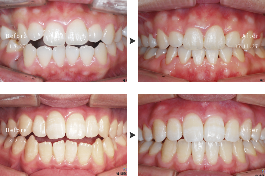
°³¹æ±³ÇÕ±³Á¤ »ç·Ê
orthodontic Clinic

