±³Á¤Å¬¸®´Ð
¼ºÀα³Á¤/ºÎºÐ±³Á¤/º¸Ã¶±³Á¤
HOME - ±³Á¤ Ŭ¸®´Ð - ¼ºÀα³Á¤/ºÎºÐ±³Á¤/º¸Ã¶±³Á¤³ªÀÌ´Â °ÆÁ¤¸¶¼¼¿ä!
¼ºÀα³Á¤
ºÎºÐ±³Á¤
º¸Ã¶±³Á¤
³ªÀÌ ¶§¹®¿¡ ±³Á¤ÀÌ °ÆÁ¤µÇ½Ã³ª¿ä?
³ªÀÌ´Â °ÆÁ¤¸¶¼¼¿ä. ¼ºÀÎÀϼö·Ï Ä¡·áÇùÁ¶µµ°¡ ³ô°í º»ÀÎÀÇ Ä¡¾Æ »óŸ¦ Àß ¾Ë±â¿¡ Ä¡·á°á°úµµ ÁÁ½À´Ï´Ù.
¼ºÀα³Á¤ÀÌ ÇÊ¿äÇÑ ÀÌÀ¯
orthodontic Clinic
¼ºÀα³Á¤Àº Ä¡¿À» °í¸£°Ô ¸¸µé¾î Ä¡¾Æ »çÀÌÀÇ
±³ÇÕÀÌ Á¤È®ÇÏ°Ô ¸Â¹°¸®°Ô ¸¸µå´Â Ä¡·áÀÔ´Ï´Ù.
ºÎÁ¤±³ÇÕÀ» Ä¡·áÇÔÀ¸·Î½á ÀÕ¸öº´, ÃæÄ¡ ¿¹¹æ¿¡ È¿°úÀûÀ̰í,
µ¹ÃâÀÔ, ºñ´ëĪ µîÀÇ °³¼±À¸·Î ³ªÀ̰¡ µé¾îº¸ÀÌ´Â Çö»óÀ» µ¿½Ã¿¡ ÇØ°áÇÏ¿©
Ä¡¾Æ°Ç°°ú ¿Ü¸ð°³¼±À» µ¿½Ã¿¡ ¿Ï¼ºÇÕ´Ï´Ù.
-
01
±â´É°³¼±
ÀúÀÛ±â´É
°³¼±À» ÅëÇÑ
Ä¡¾Æ°Ç° À¯Áö -
02
¿Ü¸ð°³¼±
°Çϰí
³ªÀÌ µé¾îº¸ÀÌ´Â
À̹ÌÁö °³¼± -
03
°£´ÜÄ¡·á
ÀÓÇöõÆ®¸¦ À§ÇÑ
°ø°£À̳ª
Ʋ¾îÁø ºÎºÐ¸¸ Ä¡·á °¡´É
¼ºÀα³Á¤ÀÇ Æ¯Â¡
orthodontic Clinic
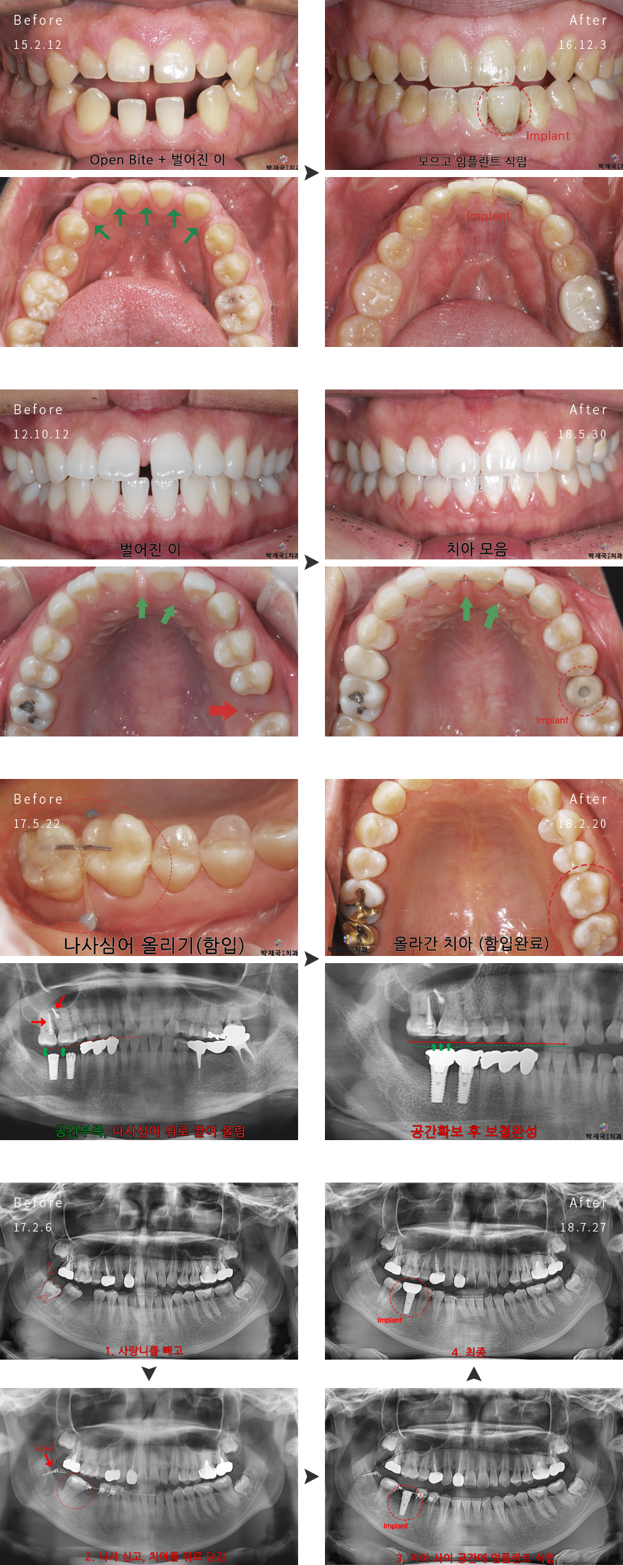
ºÎºÐ±³Á¤À̶õ?
orthodontic Clinic
Ä¡¾ÆÀÇ ÀüüÀûÀÎ Ä¡¾Æ»óÅ´ ¾çÈ£Çϳª
¾Õ´Ï ¹× ¸î¸îÀÇ Ä¡¾ÆÀÇ »óŰ¡ °í¸£Áö ¸øÇÑ °æ¿ì »ç¿ëÇÏ´Â ±³Á¤ÀÔ´Ï´Ù.
ºÎºÐ±³Á¤Àº À̹°°¨À» ÃÖ¼ÒÈ ½ÃÄÑÁÖ´Â ÀåÄ¡¸¦ ÅëÇØ
´Ü½Ã°£¿¡ ±³Á¤Ä¡·á¸¦ ÇÒ ¼ö ÀÖ´Â ÀåÁ¡ÀÌ ÀÖ½À´Ï´Ù.
¶ÇÇÑ ÀÓÇöõÆ®¸¦ ½Ä¸³½Ã °ø°£ È®º¸¸¦ À§ÇØ °°ÀÌ ÁøÇàÇÏ´Â °æ¿ìµµ ÀÖ½À´Ï´Ù.
ºÎºÐ±³Á¤ Ä¡·á´ë»ó
orthodontic Clinic
¼ºÀÎ/ºÎºÐ±³Á¤ »ç·Ê
orthodontic Clinic

